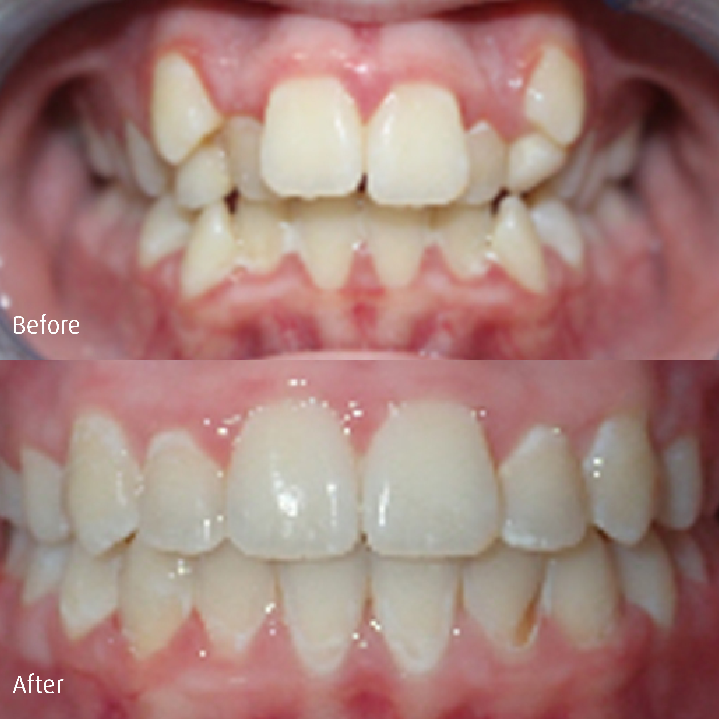
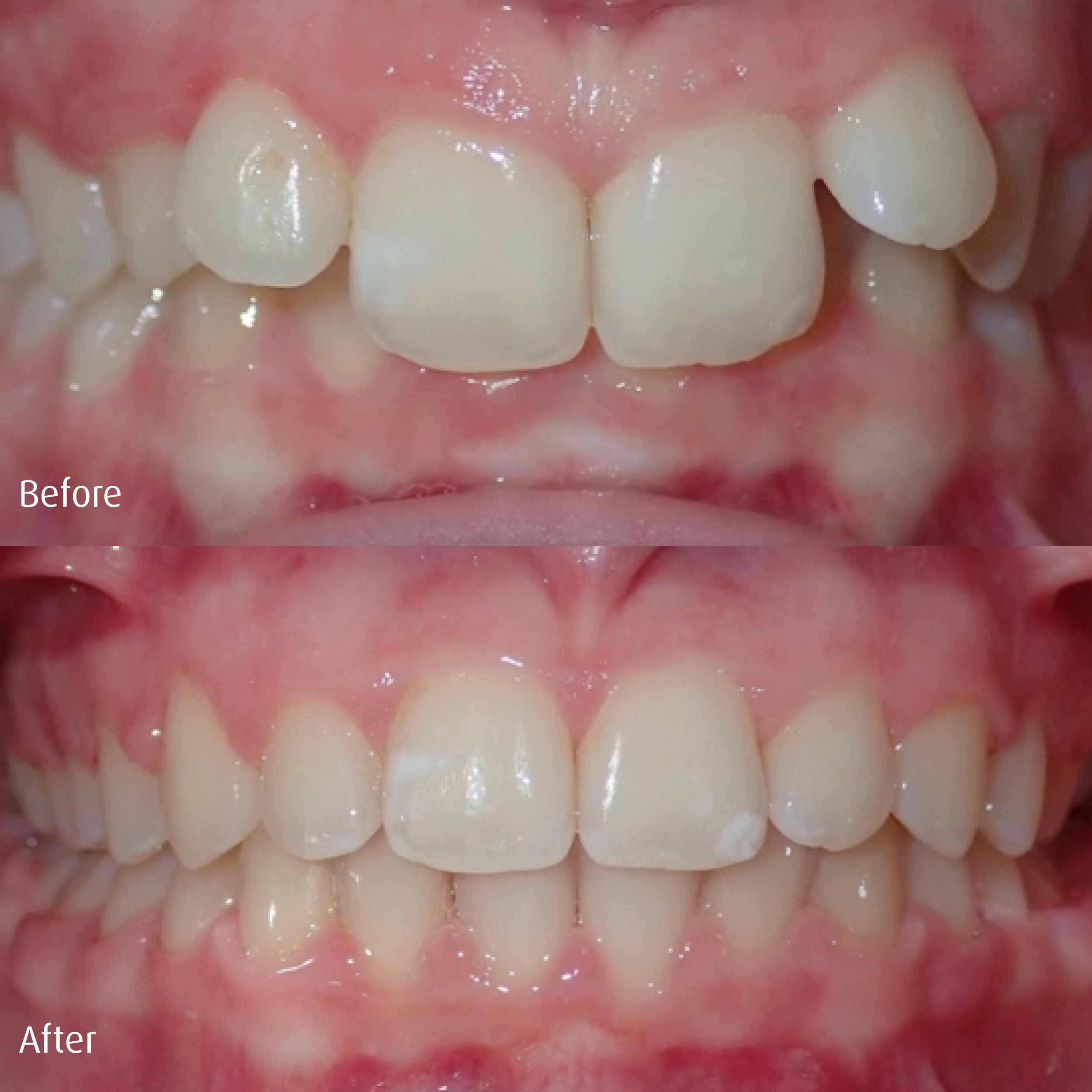
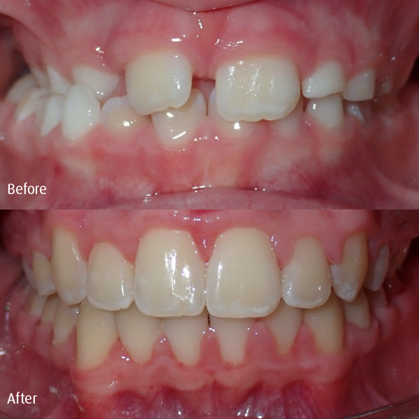
Smiles That Tell a Story. Even Before They're Fully Grown

Every smile matters—functionally, esthetically, and emotionally. At Spring Orthodontics, we believe early treatment can make a lasting difference. Explore these real patient transformations to see how guided care at just the right time can set the stage for a lifetime of confident, healthy smiles.

EARLY / PHASE 1 TREATMENT

COMPREHENSIVE TREATMENT

SEE OUR SMILES